Oggi parliamo della Metionina, e ti spieghiamo tutte le particolarità di questo aminoacido essenziale.
Indice
Cos’è la Metionina?
La metionina è un aminoacido alifatico; solforato;ossiacido essenziale, è a tutti gli effetti un aminoacido assolutamente essenziale.
Per quanto riguarda questa caratteristica, sappiamo che quando un amioacido è essenziale, dobbiamo introdurlo attraverso l’alimentazione o pagheremo le conseguenze della sua carenza, giusto?
Ecco, la metionina è un aminoacido che è necessario assumere per assicurare la sopravvivenza. Ma perché tutto questo background? Come mai tutta questa manfrina?…
Perché la metionina è l’aminoacido essenziale più “particolare” di tutti
- La sua carenza: è stata associata agli effetti descritti anteriormente, oltre alla deplezione di enzimi antiossidanti, danno epatorenale, danno vascolare, insufficienza cardiaca e morte;
- L’eccesso: si sta iniziando ad associare l’eccesso con la proliferazione e sviluppo del tumore, del danno epatorenale, malattie neruodegenerative e malattie cardiache e cerebrovascolari.
E come facciamo a sapere quanta metionina stiamo consumando? Beh… In realtà non possiamo saperlo, rimani qui perché ti spiego a cosa si deve tutto questo.

Alcune delle fonti di metionina.
Leucina, Isoleucina, Valina, Lisina, Metionina, Treonina, Triptofano, Istidina e Fenilalanina.
Se vuoi sapere quali sono gli aminoacidi essenziali, clicca qui.
Come è distribuita nell’organismo?
La metionina viene metabolizzata allo stesso modo che il resto degli aminoacidi.
Infatti, una volta che si assorbe viene trasportata dagli enterociti e passa al liquido interstiziale, gli aminoacidi vengono utilizzati per:
- Funzioni anaboliche (riduzione): sintesi proteica e peptidi biologicamente attivi; o
- Funzioni cataboliche (ossidazione): transaminazione, deaminazione e decarbossilazione.
Consumo di Metionina
Un consumo normale di metionina permette di mantenere le concentrazioni adeguate di questo aminoacido nei diversi tessuti del corpo, in modo da svolgere tutte le sue funzioni strutturali e modulatrici senza alterazioni.
Al contrario, un consumo eccessivo porta all’accumulo di grandi quantità di metionina nel plasma sanguingno, aumentando facilmente l’ossidazione per mantenere l’omeostasi dell’organismo creando metionina R-Solfossido e metionina S-Solfossido attraverso la sua reazione con un radicale libero di ossigeno.
La metionina solfossido è una sostanza che è stata associata in numerose occasioni al danno ossidativo legato all’età, considerata come un “residuo di metionina”.

Perché assumere Metionina?
Non ci allarmiamo, dato che sembra che stiamo evidenziando solo la parte negativa.
Ribadisco che la metionina è necessaria per il corretto funzionamento dell’organismo, e in assenza di consumo ci ammaliamo.
Cura del fegato
Per quanto riguarda la cura del fegato, la metionina partecipa nel metabolismo epatico come donatore di gruppi metilici e solfuro; portando alla sintesi di Succinil-CoA, omocisteina, cisteina (a sua volta sintetizza il glutatione e la taurina), creatina e carnitina.
Regolare il colesterolo
Con rifermento al colesterolo, assumere la giusta quantità di metionina si associa con la riduzione delle concentrazioni di colesterolo LDL (Low-Density Lipoprotein), attraverso il normale funzionamento del fegato, regolando le reazioni di metilazione e agendo come precursore della S-Adenosil Metionina (SAMe), come precursore del glutatione ed enzimi antiossidanti come SOD, CAT, GPx e GPr;
Regolando la risposta immunitaria ed essendo necessaria per una corretta crescita e sviluppo.
Effetto antiossidante
In aggiunta a questo, quando l’omocisteina viene transulfurata attraverso un processo del metabolismo mediato dalla metionina, si transforma in cisteina e a sua volta in glutatione.
Il glutatione è il principale antiossidante dell’organismo che ha un effetto catalizzatore sulle specie reattive di ossigeno, azoto e zolfo; protegge gli organi dalla sovrapproduzione di citochine; regola la risposta del sistema immunitario e riduce il danno ossidativo.
D’altra parte, il paracetamolo è un farmaco particolarmente tossico per il fegato, dato che depleta le sue concentrazioni di glutatione in modo aggressivo; uno dei trattamente accettati per riempire le concentrazioni di glutatione dopo l’intossicazione da paracetamolo, è proprio il somministro di dosi elevate di metionina.
Donatore di gruppi metile e solfuro
La metionina è un composto sicuramente molto interessante per il ruolo che svolge come donatore di gruppi metile e solfuro per produrre elementi come SAMe o il Glutatione; per migliorare la salute epatica danneggiata per esempio dall’uso di sostanze metabolizzabili attraverso questa via.
Per quanto riguarda la metilazione del DNA, questa è stata associata a riduzioni nello sviluppo del cancro, a causa del silenziamento non programmato dei geni promotori e attraverso la formazione di cromatina a partire dall’aggiunta di un gruppo metile alla cistosina.

Figura I. Via metabolica della transmetilazione e della transulfurazione.
Fonti Naturali di Metionina
| Contenuto di Metionina (mg/100g di alimento crudo) | |
| Frutta Secca | |
| Sesamo | 602 |
| Mandorle | 518 |
| Pistacchi | 367 |
| Semi di zucca | 617 |
| Legumi | |
| Arachidi | 317 |
| Soia | 525 |
| Lentecchie | 194 |
| Cereali | |
| Grano | 196 |
| Riso Bianco | 150 |
| Mais | 182 |
| Pane | 140 |
| Tubercoli | |
| Patata | 26 |
Tabella 1
| Contenuto di Metionina (mg/100g di alimento crudo) | |
| Ortaggi e Verdure | |
| Bietole | 8 |
| Zucca (polpa) | 9 |
| Broccoli | 61 |
| Cavolfiore | 44 |
| Asparagi | 28 |
| Spinaci | 46 |
| Lattuga | 24 |
| Frutta | |
| Fragola | 1 |
| Mela | 3 |
| Mandarino | 14 |
| Melone | 6 |
| Banana | 22 |
| Anguria | 648 |
| Uva | 23 |
Tabella 2
| Contenuto di Metionina (mg/100g di alimento crudo) | |
| Carni e Viscere | |
| Carne di maiale | 321 |
| Agnello | 383 |
| Fegato | 491 |
| Pollo | 800 |
| Tacchino | 397 |
| Coniglio | 225 |
| Pesce Fresco e Conserve | |
| Tonno in scatola | 653 |
| Sogliola | 396 |
| Sardina | 621 |
| Salmone | 469 |
| Latte e Uova | |
| Latte umano | 19 |
| Latte di mucca | 86 |
| Latte di capra | 50 |
| Uova | 416 |
Tabla 3
Controindicazioni
Nonostante ciò, questo non significa che la metionina sia esente da effetti avversi potenzialmente dannosi; come accadi con qualsiasi composto, si stabilisce una curva ormetica, in cui la sua assenza risulta nociva, il suo consumo adeguato benefico, e il suo eccesso nuovamente dannoso.

Figura II. Reppresentazione grafica dell’efetto ormesi.
Eccesso di Metionina
“Nella dose sta il veleno”.
Relativamente all’eccesso nel consumo di metionina, questo si associa ad alterazioni nel metabolismo della transmetilazione, che aumenta l’ossidazione di metionina a solfossido, con le conseguenze che abbiamo discusso in precedenza.
Al contrario, la restrizione del consumo (eccessivo) di metionina è stato associato alla correzione del metabolismo alterato della metionina/transmetilizazione e alla dimunizione del danno al DNA, processi cancerogeni, malattie legate alle arterie, neuropsichiatriche e neurodegenerative.
Estudios
Gli studi sono osservazionali, epidemiologici di conseguenza sono di qualità moderata.
Ad esempio, osservano persone hanno avuto un incidente cardiovascolare e presentano maggiori concentrazioni di omocisteina nel sangue (Ashjazadeh et al., 2013), o che concentrazioni più alte di metionina e metionina solfossido si associano ad una funzione renale danneggiata e (Soares, 2017) disturbi cardiaci e cerebrovascolari occlusivi (Soares, 2017).
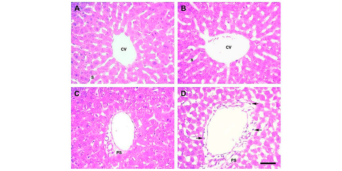
Stefanello et al. (2009) mostrano gli effetti sulla salute epatica dei ratti legata al somministro cronico di alte dosi di metionina per via sottocutanea. Ciò che hanno potuto osservare a livello istologico è stato:

Figura III. Reppresentazione istologica della regione centrale del lobulo epatico che segnala la vena centrale (A, B) e della regione epatica che presenta uno spazio portale (C, D); sui ratti di controllo (A, C) e ratti sperimentali (B, D). (Stefanello et al., 2009).
Al contrario, il fegato dei ratti a cui sono state somministrate alte dosi di metionina (B, D) presentano alterazioni morfologiche dei lobuli epatici, con una leggera perturbazione degli epatociti e delle cellule infiammatorie nel tessuto connettivo attorno allo spazio portale. (indicato con le frecce nell’immagine D).

Figura IV. Marcatori sierici del metabolismo epatico (alanina aminotransferasi, aspartato aminotransferasi, fosfatasi alcalina) e glucosio. (Stefanello et al., 2009).
In aggiunta a questo, anche le concentrazioni di glucosio aumentano notevolmente.
Si tratta di un dato che di per sé fornisce poche informazioni, a meno che non venga integrato con il contenuto di carbonile (marcatore della glicazione e danno alle proteine nell’organismo) del fegato dei ratti che aumenta più del 30% nel gruppo che aveva ricevuto metionina, dopo 3 ore dal somministro, normalizzato dopo 12 ore.

Figura V. Effetti della ipermetioninemia cronica sui parametri relazionati con lo stress ossidativo e la glicazione delle proteine. (Stefanello et al., 2009).
Conclusioni dello studio
Per iniziare, è sicuramente qualcosa di specultativo, dato che una concentrazione di metionina nel sangue superiore alla quantità normale può portare all’ossidazione e all’alterazione dell’integrità strutturale delle cellule dell’organismo, specialmente quelle epatiche come conseguenza di un’alterazione del metabolismo della trasnmetilazione.

Figura VI. Modello proposto dei principali effetti biologici, sia positivi che negativi, modulati dal consumo e dalla restrizione nel consumo di metionina (Martínez et al., 2017).
Conclusioni
In conclusione, l’impatto dell’effetto di un consumo eccessivo è ancora sconosciuto, così come la soglia dalla quale la curva dei “benefici” inizia a precipitare, di conseguenza la metionina è un aminoacidi molto benefico se assunto nelle dosi adeguate, con la necessità di valutare il potenziale negativo sulla nostra salute.
Fonti Bibliografiche
- Castell, L. M., & Newsholme, E. A. (2001). The relation between glutamine and the immunodepression observed in exercise. Amino Acids, 20(1), 49–61.
- Chiurchiù, V., & Maccarrone, M. (2011). Chronic Inflammatory Disorders and Their Redox Control: From Molecular Mechanisms to Therapeutic Opportunities. Antioxidants & Redox Signaling, 15, 2605–2641.
- Koc, A., & Gladyshev, V. N. (2007). Methionine sulfoxide reduction and the aging process. Annals of the New York Academy of Sciences, 1100, 383–386.
- Lim, J. M., Kim, G., & Levine, R. L. (2019). Methionine in Proteins: It’s Not Just for Protein Initiation Anymore. Neurochemical Research, 44(1), 247–257.
- Martinez, Y., Li, X., Liu, G., Bin, P., Yan, W., Mas, D., … Yin, Y. (2017). The role of methionine on metabolism, oxidative stress, and diseases. Amino Acids, 49(12), 2091–2098.
- PubChem (s.f.). Methionine.
- Soares, M. S. P., Oliveira, P. S., Debom, G. N., da Silveira Mattos, B., Polachini, C. R., Baldissarelli, J., … Spanevello, R. M. (2017). Chronic administration of methionine and/or methionine sulfoxide alters oxidative stress parameters and ALA-D activity in liver and kidney of young rats. Amino Acids, 49(1), 129–138.
- Stefanello, F. M., Matte, C., Pederzolli, C. D., Kolling, J., Mescka, C. P., Lamers, M. L., … Wyse, A. T. S. (2009). Hypermethioninemia provokes oxidative damage and histological changes in liver of rats. Biochimie, 91(8), 961–968.
Voci Correlate
- Il Same (S-Adenosil Metionina) presenta una serie di importanti benefici per la salute. Se vuoi sapere quali, fai click qui.
- Il Glutatione è considerato l’antiossidante più potente dell’organismo, continua a leggere...

Blog di Fitness, Nutrizione, Salute e Sport | Blog HSN Nel Blog di HSNstore troverai consigli sul Fitness, sport in generale, nutrizione e salute – HSNstore.com 

