Oggi parliamo dell’uso dei biomarcatori come sistema di monitoraggio in casa per il controllo degli sportivi.
Indice
Cosa sono i Biomarcatori?
I biomarcatori sono il riflesso di alcuni degli aspetti dell’organismo, che possiamo misurare attraverso l’uso di diversi strumenti.
I biomarcatori sono importanti, infatti la misurazione di questi parametri è un modo di conoscere il nostro stato di salute, e il modo in cui ci stiamo recuperando.
In sintesi… Quello che sta succedendo nel nostro organismo.
Biomarcatori negli sportivi
Per iniziare, è frequente riscontrare delle alterazioni nei biomarcatori sierici degli atleti.
Anche se la maggior parte dei medici si mette le mani tra i capelli quando questo accade, dentro certi limiti è un fenomeno normale, dato che gli sportivi hanno un metabolismo più attivo (metabolismo inteso come l’insieme delle reazioni redox nell’organismo).
A tal proposito, come conseguenza di questo aspetto, sperimentano certi adattamenti nelle concentrazioni dei residui muscolari, l’espressione degli enzimi, il volume di alcuni parametri ematici, che li fanno uscire da un “quandro di normalità”.

Figura I. Distribuzione di Gauss, dove la maggior parte della popolazione è situata nel centro mentre gli alteti escono dalla “normalità”, poiché le loro richieste metaboliche non sono “normali”.
È importante per un atleta controllare i biomarcatori?
Sì, dato che sono una parte della popolazione soggetta ad alterazioni di salute serie, proprio per le grandi richieste energetiche che implica l’esercizio fisico.
Non è difficile trovare sportivi con anemia, con carenze subcliniche di vitamine e minerali, con insufficienza renale cronica o nei primi stadi, con alterazioni strutturali e funzionali del cuore…
Una buona parte di queste scenari influiscono sul rendimento e sulla salute (Kreher y Schwartz, 2012), e potrebbero essere evitati attraverso un corretto monitoraggio dell’atleta.
Il controllo dello stato di un atleta non è competenza esclusiva di una struttura sanitaria, o dalla disponibilità di apparecchiature costose e della formazione richiesta per il loro uso.
In questo articolo ti spiego quali utilizzare e a cosa ti serviranno!
Peso corporeo
Il perso corporeo è uno dei biomarcatori che tutti controlliamo…
Non sapevi che è un biomarcatore? Non ti dà informazioni su quello che sta succedendo nel tuo organismo?
Certo che lo fa! ?
I cambiamenti nel peso e nella composizione corporea sono un modo molto efficace per controllare gli effetti dell’allenamento che stiamo realizzando sulla nostra struttura…Se non aumentano il tuo perimetro con lo stesso rapporto di grasso, non stai guadagnando massa muscolare, facile.
In riferimento a quanto detto, parlerò dell‘influenza del peso sullo stato di salute di un atleta:
Perdita di peso rapida
- In meno di un mese, senza volerlo, può significare che siamo in presenza di una malattia di gravità acuta (linea rossa continua);
- Una perdita di peso più importante in un periodo di tempo di circa 6 mesi, non intenzionale, può significare una malattia cronica grave (linea blu discontinua lunga).

Figura II. Percentuale della perdita di massa magra relativa a diverse situazioni. Jensen et al. (2010).
Perdita di peso per disidratazione
Una perdita del 2% (o di più) del peso corporeo tra un giorno e l’altro può indicare uno stato di disidratazione.
In questi casi, una buona idea è quella di assicurarsi il rifornimento di liquidi attraverso il consumo di acqua e sodio, dato che una disidratazione del 7% potrebbe ucciderti, anche se non devi preoccuparti per questo, perché quando l’osmolarità del mezzo interno aumenta la sete arriva velocemente, e questo succede molto prima di arrivare al 7%.
Guadagno di peso
Se è troppo drastico da un giorno all’altro (non esistono valori di soglia, ma nella mia esperienza pratica con gli sportivi, >3,5% del peso corporeo) può significare un consumo eccessivo di sale il giorno precedente, e di conseguenza, una maggiore ritenzione idrica per mantenere l’osmolarità plasmatica.
Non solo questo, ma anche un eccessivo danno muscolare che provoca la morte cellulare e l’edema interstiziale: guadagnare peso perché si accumula una quantità anomala di acqua intorno alle cellule come meccanismo di protezione dopo un allenamento eccessivo.

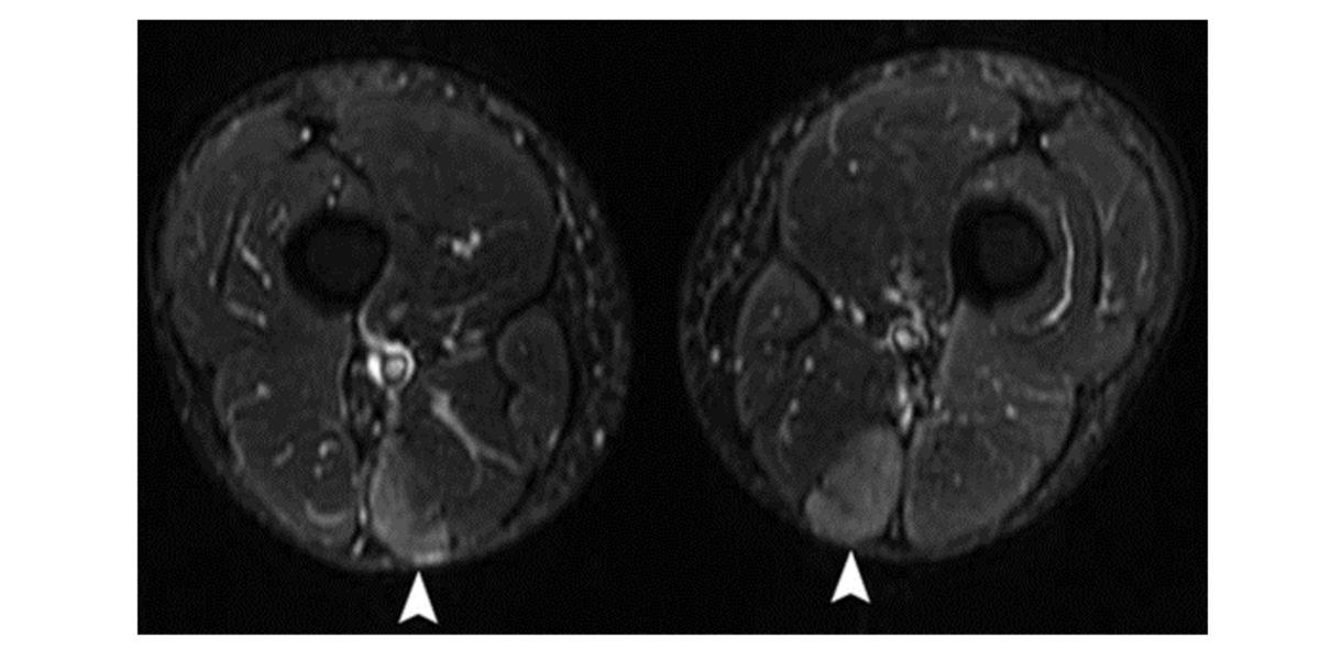
Figura III. Immagine di una risonanza magnetica in cui si osserva edema (freccia) nel muscolo semimembranoso dopo aver corso una maratona (McMahon et al., 2010).
Temperatura corporea
La temperatura corporea è uno dei biomarcatori, in quanto è controllata da un (estremamente connesso) insieme di sistemi che ci mantengono in equilibrio.

Figura IV. Reppresentazione grafica della curva di regolazione della temperatura corporea in funzione della temperatura ambientale.
Il principale meccanismo di controllo della temperatura corporea è la regolazione del metabolismo basale attraverso la ghiandola tiroidea e la ghiandola surrenale, tiroide e sistema nervoso simpatico rispettivamente.
Diminuzione della temperatura corporea
Se realizzata sempre in condizioni stabili (ubicazione, ora del giorno, stato di riposo, luogo di misurazione, ecco) indica una diminuzione del tasso metabolico basale, normalmente a causa di alterazioni nel metabolismo per:
- Bassa disponibilità energetica per: Riduzione dell’apporto calorico o Basso indice di grasso corporeo.
- Sovrallenamento.
- Altre cause patologiche.
Quello che è certo è che un tasso metabolico basale ridotto diminuisce la prestazioni sportive, e solo 1ºC di differenza si associa ad una dimunzione del 10-13% del tasso metabolico (che equivale a circa 100-130kcal/giorno di consumo in meno).
Pressione sanguigna
La pressione sanguigna è la forza che esercita il sangue contro le pareti dei vasi saguigni, che si misura con misuratore di pressione.
Un aumento occasionale della pressione sanguigna non è niente di cui allarmarsi, dato che la quantità di plasma sanguingo che circola potrebbe variare e quindi alterarla notevolmente.
Tuttavia, un aumento cronico della pressione arteriosa che raggiunge, 130/80mmHg e non si corregge nel giro di 1 settimana, richiede un’attenzione speciale, perché indica alterazioni nel sistema simpatico per eccesso di allenamento.

Figura V. Criteri diagnostici di classificazione della pressione sanguigna. (Whelton et al., 2018).
Se i valori non si correggono dopo la diminuzione del carico di allemento è necessario consultare il medico per escludere anomalie a livello renale o disturbi surrenali.
Questo non signfica che un eccesso di carico nell’allenamento non possa provocare un episodio ipertensivo in modo occasionale, ma che si corregge come indicato, permettendo al nostro organismo di recuperarsi.
Glicemia
La glicemia è la concentrazione di glucosio nel sangue, si misura attraverso un prelievo capillare e mediante l’analisi con un glucometro.

Figura VI. Processo per la determinazione della glicemia nel sangue. (González-Hernández, 2010).
La glicemia si mantiene in equilibrio e non si altera drasticamente durante la giornata se non soffriamo di alterazioni metaboliche.
Monitoraggio continuo
È possibile utilizzare misuratori di glicemia per il monitoraggio continuo, strumenti che, attraverso l’applicazione di un cerotto dotato di un sensore che misura il glucosio (con un ago di piccole dimensioni) sotto l’epidermide, ci permette di controllare le concentrazioni di glucosio in modo continuo e ricevere sempre informazioni sul nostro telefono o smartwatch.
È un sistema approvato per uso clinico, purché venga applicato sull’addome (NON sul braccio) e si mantenga almeno per 7 giorni.

Figura VII. Interfaccia di un CGM su una APP.
Attualmente vengono commercializzati sistemi di CGM di sesta generazione, fino ad ora la più precisa.
Monitoraggio del sonno
Un eccesso di allenamento, una grande deprivazione energetica o altri comportamenti normalmente associati agli sportivi (come il consumo di elevate quantità di stimolanti) possono provocare difficoltà ad addormentarsi, o dormire meno e/o dormire in modo più superificiale.
Lo studio del sonno viene effettuato attraverso una polisonnografia.

Figura VIII. Simulazione di una polisonnografia in ospedale.
Nonstante ciò, disponiamo di apparecchiature più accessibili che ci consento di ottenere informazioni che possono essere più o meno valide, ma se il sistema è affidabile ci darà un riferimento per sapere se riposiamo bene o male.

Figura IX. Interfaccia di una diagnnosi del sonno con Xiaomi Mi Band 4.
Personalmente, non utilizzerei niente che non sia ŌURA ring, un anello che registra l’attività notturna e fornisce informazioni attraverso un ipnogramma abbastanza preciso, se paragonato al gold-standard: il polisonnografo (anche se non è capace di differenziare le fasi del sonno e ingoba sonno leggero/profondo/REM).

Figura X. Ipnogramma di comparazione tra Oura e un polisonnigrafo. (De Zambotti et al., 2019).
L’anello più economico costa ben 300 euro. Tuttavia, se sei interessato in questo sistema è importante che venga utilizzato in un dito che non sia l’anulare, perché in questa posizione registra più errori.

Figura XI. Modelli di Oura disponibili. Recuperato da: https://ouraring.com/choose-your-ring/
Altri tipi di Biomarcatori
Manca citare metodi di controllo, tali come:
- Un pulsossimetro (che in generale è privo di interesse a meno che non ti stai allenando ad alta quota, soffri di EPOC o danno microvascolare);
- Un chetometro (che può essere interessante per gli sportivi che seguono una dieta chetogenica o in pazienti con diabete di tipo I), e
- L’HRV di cui ho parlato qui.
Conclusioni
Nonostante tutto, non mi piacerebbe concludere questo articolo senza menziare il potere della nostra percenzione, come vi ho detto anche nell’articolo sull’ HRV, ma:

Figura X. Scala di Recupero Percepita (Laurent et al., 2011).
Di mattina una una PRSS (Scala di Recupero Percepito) per sapere come stai e cosa dovresti fare:
| Valori | Modifiche |
| 0-2 | Diminuisci il carico di allenamento |
| 3-6 | Mantieni il carico di allenamento |
| 7-10 | Puoi continuare a progredire |
Fonti Bibliografiche
- de Zambotti, M., Rosas, L., Colrain, I. M., & Baker, F. C. (2019). The Sleep of the Ring: Comparison of the ŌURA Sleep Tracker Against Polysomnography. Behavioral Sleep Medicine, 17(2), 124–136.
- González-Hernández, 2010. Principios de Bioquímica clínica y patología molecular. 1ed Editorial Elsevier
- Jensen, G. L., Mirtallo, J., Compher, C., Dhaliwal, R., Forbes, A., Figueredo Grijalba, R., … Waitzberg, D. (2010). Adult starvation and disease-related malnutrition: A proposal for etiology-based diagnosis in the clinical practice setting from the international consensus guideline committee. Journal of Parenteral and Enteral Nutrition, 34(2), 156–159.
- Kreher, J. B., & Schwartz, J. B. (2012). Overtraining Syndrome: A Practical Guide. Sports Health, 4(2), 128–138.
- Landsberg, L., Young, J. B., Leonard, W. R., Linsenmeier, R. A., & Turek, F. W. (2009). Do the obese have lower body temperatures? A new look at a forgotten variable in energy balance. Transactions of the American Clinical and Climatological Association, 120, 287–295.
- Laurent, C. M., Green, J. M., Bishop, P. A., Sjökvist, J., Schumacker, R. E., Richardson, M. T., & Curtner-Smith, M. (2011). A practical approach to monitoring recovery: Development of a perceived recovery status scale. Journal of Strength and Conditioning Research, 25(3), 620–628.
- Liska, D., Mah, E., Brisbois, T., Barrios, P. L., Baker, L. B., & Spriet, L. L. (2019). Narrative review of hydration and selected health outcomes in the general population. Nutrients, 11(1).
- McMahon, C. J., Wu, J. S., & Eisenberg, R. L. (2010). Muscle edema. American Journal of Roentgenology, 194(4), W284–W292.
- Of, S., & Carediabetes, M. (2018). Updates to the Standards of Medical Care in Diabetes-2018. Diabetes Care, 41(9), 2045–2047.
- Ortega, F. B., Sui, X., Lavie, C. J., & Blair, S. N. (2016). Body Mass Index, the Most Widely Used but Also Widely Criticized Index Would a Criterion Standard Measure of Total Body Fat Be a Better Predictor of Cardiovascular Disease Mortality? Mayo Clinic Proceedings, 91(4), 443–455.
- Whelton, P. K., Carey, R. M., Aronow, W. S., Casey, D. E., Collins, K. J., Himmelfarb, C. D., … Wright, J. T. (2018). 2017 ACC/AHA/AAPA/ABC/ACPM/AGS/APhA/ASH/ ASPC/NMA/PCNA guideline for the prevention, detection, evaluation, and management of high blood pressure in adults: Executive summary: A report of the American college of cardiology/American Heart Association task force on clinical practice guidelines. Hypertension, 71(6), 1269–1324.
Voci Correlate
- Le Analisi degli Sportivi si differenziano da quelle del resto della popolazione… continua a leggere.
- Cosigli per Acellerare il Recupero.
- Tutto quello che devi sapere sulle Proteine del Siero e Sportivi in questo post.
Blog di Fitness, Nutrizione, Salute e Sport | Blog HSN Nel Blog di HSNstore troverai consigli sul Fitness, sport in generale, nutrizione e salute – HSNstore.com 

